您的当前位置:网站首页 >> FGF21激素可能延长人类寿命 >> 详细信息
    FGF21激素可能延长人类寿命
    此文章被浏览:529 次  发布时间:2016年02月11日

     

    导语:目前,科学家最新研究表明,FGF21激素具有神奇功效,可以阻止老年群体胸腺衰弱,提升免疫系统,未来有望实现人类寿命延长。

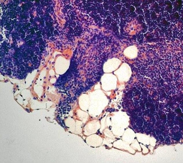
    人体胸腺可生成T细胞和白血球细胞,有助于阻止人体感染病毒。图中显示伴随着年龄衰老,胸腺将脂肪增多,制造T细胞能力下降。目前最新研究显示,FGF21激素将阻止胸腺衰老,提高免疫功能,有助于延长寿命人体胸腺可生成T细胞和白血球细胞,有助于阻止人体感染病毒。图中显示伴随着年龄衰老,胸腺将脂肪增多,制造T细胞能力下降。目前最新研究显示,FGF21激素将阻止胸腺衰老,提高免疫功能,有助于延长寿命

    腾讯科学讯 据英国每日邮报报道,目前,科学家发现一种具有“不老泉”功效的激素,可潜在延长实验老鼠寿命40%,未来或许有望延长人类寿命。

    这种激素叫做“FGF21”,之前发现它有助于体重减轻,目前最新研究发现,伴随着年龄增长,FGF21对于阻止身体胸腺衰弱具有至关重要的作用。虽然这项研究仅对老鼠进行实验,但研究人员表示它将对人体免疫系统十分有益。

    研究人员计划调查是否药物形式中添加FGF21激素能延长人类寿命,以及减少疾病的发生。他们指出,肥胖者、癌症患者和II类型糖尿病患者也将受益于FGF21激素。人体胸腺可产生T细胞、白血球细胞,这对于人体免疫系统至关重要,有助于阻止人体遭受感染。

    伴随着年龄不断增长,胸腺将脂肪过多,失去制造T细胞的能力,同时,伴随着T细胞数量减少,人体将降低疾病预防能力。老年人体内T细胞数量减少,被认为能够增大疾病和癌症发生率。

    耶鲁医学院免疫生物学教授维什瓦-迪普-迪克西特(Vishwa Deep Dixit)研究发现老鼠具有较高的FGF21激素含量,通过增加老鼠体内FGF21激素水平,可以阻止胸腺脂肪过多,变得更加虚弱,同时,可以增强制造新T细胞的能力。

    同时,实验显示年迈老鼠体内FGF21含量降低,将加速胸腺退化。这项研究报告发表在近期出版的《美国国家科学院院刊》上。此外,FGF21激素可促进“褐色脂肪”沉积,近期研究发现这种脂肪可以燃烧体内传统白色脂肪,从而使体重减少。

    迪克西特教授说:“提高老年人群或者癌症患者体内FGF21含量,可能增大体内T细胞数量,因此能够提升免疫系统。”科学家发现FGF21数量和血糖之间有趣的关联性,当血糖指数较低时,FGF21数量将增多,身体将燃烧脂肪,而不是制造能量。

    迪克西特教授表示,未来研究将聚焦于理解FGF21如何避免胸腺衰老化,以及在药物中添加该激素能否延长人类寿命。他强调称,虽然通过禁食能够提高身体FGF21指数,但我们希望研制一种方法,无需真实减少热量摄入,模拟能量限制来提高免疫功能。

    2115年12月,美国爱荷华大学研究人员发现FGF21激素能够阻止老鼠对糖和酒精、猴子对糖果的强烈需求。

    英国皇家兽医学院免疫学副教授唐纳德-帕尔默(Donald Palmer)博士称,这是一个非常有趣和令人鼓舞的研究,证实胸腺是导致老年群体免疫功能衰减恶化的重要组织,它负责生成T细胞。

    虽然这项研究仅对老鼠进行实验,但是它表明操控免疫系统的可能性,可提供一个未来研究的平台,从而有助于提高免疫功能。(悠悠/编译)